放射線技術科 血管撮影
血管撮影室
血管撮影検査とは、ヨードが含まれる造影剤やCO2を直接血管の中に注入して血管内部の形、血液の流れ具合を動画で撮影する検査です。
当院の血管撮影検査の種類
脳血管撮影、心臓カテーテル検査、胸腹部血管撮影、下肢血管撮影など
装置による主な使い分け
FPD(フラットパネルディテクター) バイプレーン装置 → 心臓カテーテル検査

DSA(デジタルサブトラクションアンギオ)装置 → 脳血管撮影、胸腹部血管撮影、下肢血管撮影

※どちらも同じ機能を掲載しているので緊急時や検査の進行状況によって装置を効率よく使っています。
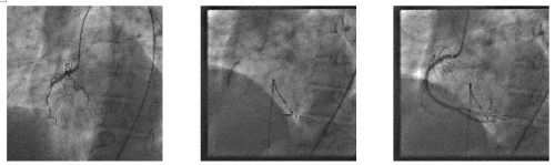
【心臓カテーテル検査】
PCI
冠動脈という血管にある血栓を吸引したり、小さな風船で広げたり、ステントと呼ばれる筒で血管を広げます。
カテーテルアブレーション
心臓の中にカテーテルを挿入して、不整脈を起こしている心筋を焼き切ります。
ペースメーカー、ICD、CRT-Dの植え込み術
房室ブロックなど心臓がうまく動かなくなった時に体の中に植え込みます。

【脳血管撮影】
未破裂瘤(脳動脈瘤)、クモ膜下出血の破裂部位、もやもや病などの脳疾患に対して撮影を行い、手術の際に必要な情報を得る検査です。
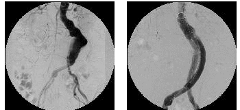
【胸腹部血管撮影と下肢血管撮影】
腫瘍塞栓術
腫瘍に取り込まれていく動脈にカテーテルという管を入れて、腫瘍に栄養を与えている血管を金属コイルなど塞栓物質で詰めていきます。
動注化学療法
腫瘍に取り込まれていく動脈にカテーテルを進めて、そこから癌を殺す薬(抗がん剤)を注入します。
経皮的血管拡張術
下肢静脈で血栓が出来てしまい、それが右心房・肺動脈に流れ込むのを防ぐために置くフィルターです。
大動脈瘤ステントグラフト(EVAR)
胸部・腹部の大動脈に出来た巨大な瘤に人工血管を挿入して破裂を防ぎます。
手術に比べて、低侵襲的です。(傷跡は股関節部分の約5cm程度)

※検査の流れは、担当内科医師によって説明があります。ご不明な点はおたずねください。
動注化学療法
腫瘍に栄養を与えている血管にカテーテルという管を挿入し直接抗ガン剤を注入します。



